
Obtén resultados con un equipo con más de 10 años de experiencia, para garantizar un tratamiento de excelencia.

Romina, de 64 años, sufrió por su falta de dientes y tratamientos fallidos durante años. ¡Ahora luce una sonrisa renovada y llena de confianza gracias a nuestros implantes dentales!

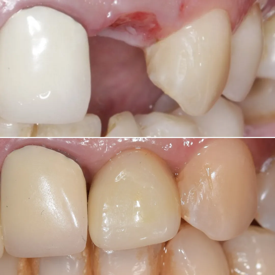
Luis, de 44 años, evitaba sonreír por su falta de diente. ¡Ahora puede sonreír sin preocupaciones con su Implante dental, idéntico a sus dientes naturales!

María, de 57 años, ya no podía comer con tranquilidad. ¡Ahora puede disfrutar de sus comidas favoritas gracias a una sonrisa completa y llena de confianza con sus nuevos implantes dentales!

Monica, de 53 años, batalló con su falta de dientes y con prótesis removibles durante años. ¡Ahora irradia confianza con su nueva sonrisa completa!
Implante + Corona Dental
Una solución definitiva para tu sonrisa


Incluye:
Evaluación con Especialista
Planificación Digital
Escáner Intraoral 3D
Cirugía Guiada Digital
Aditamentos de Implantes
Diente provisorio
Rehabilitación Oral Permanente
Antes: $1.190.000
Ahora: $950.000
VALOR DESDE*
Completa tus datos, para comenzar hoy tu camino hacia una sonrisa completa, estética y funcional.

¿Te identificas con esto?
Te faltan uno o más dientes
Tienes una prótesis que se cae regularmente
No te gusta el color o la forma de tus dientes
Sientes incomodidad al sonreír en público
Sientes dolor al masticar y no puedes disfrutar tus comidas favoritas
Has dejado pasar el tiempo y tu sonrisa ha sufrido las consecuencias

Esto obtendrás con AZ Centro Odontológico
Evaluación completamente personalizada
Atención integral, con un trato humano y cálido para cada paciente
Implantes Dentales Zimvie con Cirugía Guiada Digital y Escáner Intraoral 3D
Reconstrucción completa de tu sonrisa con implantes y coronas de alto estándar de calidad
Tratamientos realizados por especialistas en Implantología Avanzada, con más de 10 años de experiencia

En nuestra Clínica dental, entendemos la importancia de una sonrisa estética, saludable y funcional.
En AZ Centro Odontológico somos especialistas en Implantología Avanzada y Rehabilitación Oral. Y estamos comprometidos en ayudarte a lograr una sonrisa que brille con confianza y comodidad.
Obtener una completa evaluación de tu boca, encías y hueso para descubrir exactamente el tratamiento que necesitas.
Conocer todos los detalles y etapas del tratamiento para que puedas planificarte adecuadamente.
Conseguir un presupuesto detallado del plan de tratamiento que necesitas para recuperar tu dentadura al 100%.
Horarios:
Lunes a Viernes: 09:00 hrs - 20:00 hrs
Sábado: 09:00 hrs - 17:00 hrs
Encuéntranos en:
Manuel Antonio Matta 2095, of 1104, Edificio Miscanti, Antofagasta.
Políticas de Privacidad | Términos y Condiciones
© 2025. Todos los Derechos Reservados.
Take a look inside, see how it works and what's included.
